Home
  • Начало
  • За нас
  • Услуги
  • Галерия
  • За колеги
  • Контакти
  • КЛИНИКАТА
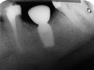
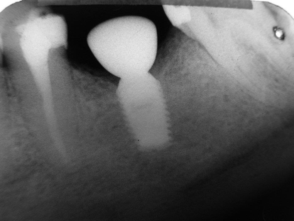
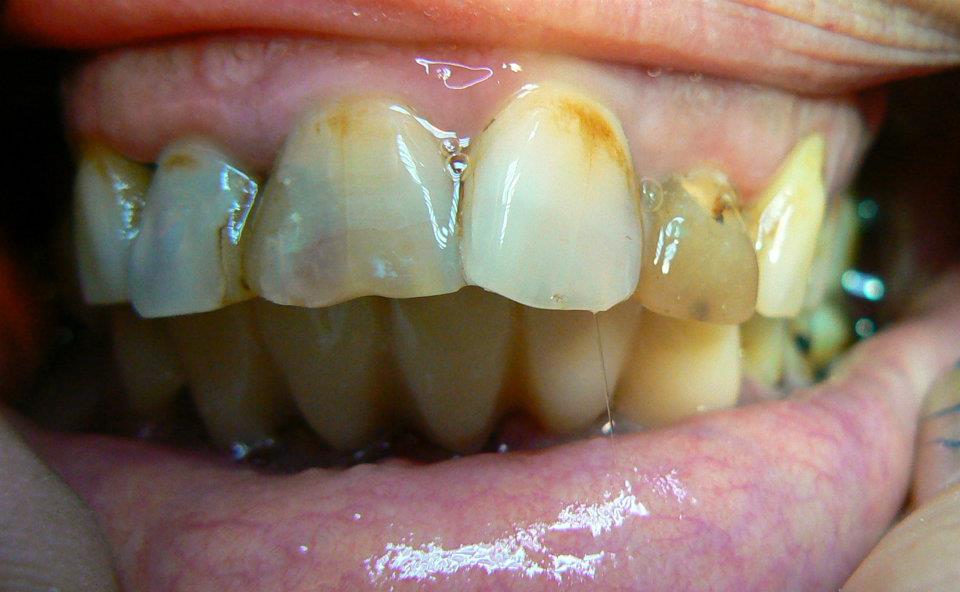
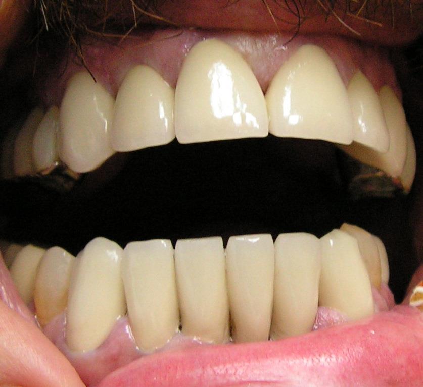
  • ПРЕДИ И СЛЕД

За да разгледате още снимки кликнете тук

  • Начало
  • За нас
  • Услуги
  • Галерия
  • За колеги
  • Контакти

Намерете ни във

facebook За контакти: тел. (052) 602 092,
email: sana@abv.bg
Карта на адреса